Immunopathologie
Snel naar:
Contact:
Boerhaavelaan 59
7555 BB te Hengelo
T 088-5374500
E

Binnen de afdeling Histologie is de Immunopathologie een subspecialisatie. Op deze afdeling worden ruim 78.000 immuunhistochemische en 2.750 immuunfluorescentie kleuringen uitgevoerd per jaar. Waar bij standaard histologie onderzoek wordt gewerkt met de hematoxyline-eosine (HE) kleuring, gaat het bij immunologisch onderzoek om allerlei speciale kleuringen met antilichamen.
Op gefixeerd en ingeblokt (paraffine) weefsel kunnen immunologische kleuringen worden aangevraagd. Dit zijn kleuringen met antilichamen en worden immuunhistohemische (IHC) kleuringen genoemd. Een klein aantal kleuringen wordt uitgevoerd op vriescoupes, onder andere bij huid- en nierbiopten. Dan wordt er gebruikt gemaakt van fluorescerende antilichamen. Deze kleuringen worden immuunfluorescentie (IF) kleuringen genoemd.
Op de afdeling worden ongeveer 170 verschillende typen antilichamen gebruikt die zich ieder aan een specifieke eiwitsoort kunnen binden. Na kleuring van een coupe met een bepaald antilichaam kan met behulp van een lichtmicroscoop/digitaal ingescande beelden worden vastgesteld om welk eiwit het gaat. Het onderliggende idee is dat elke tumorsoort wordt gekenmerkt door unieke eiwitten. Zo kun je bijvoorbeeld bepalen van welke tumorsoort er sprake is en waar een uitzaaiing in oorsprong vandaan komt. Dit bepaalt vaak welke medische onderzoeken verder dienen plaats te vinden en/of welke behandeling het meest geëigend is. De klinisch patholoog vervult hierin een adviserende rol aan de behandelend arts.
Voorbeelden IHC gekleurd weefsel :
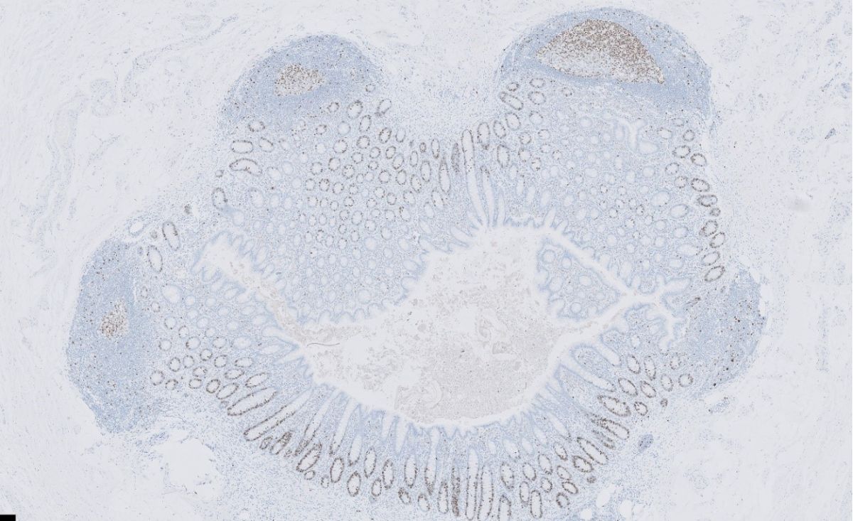
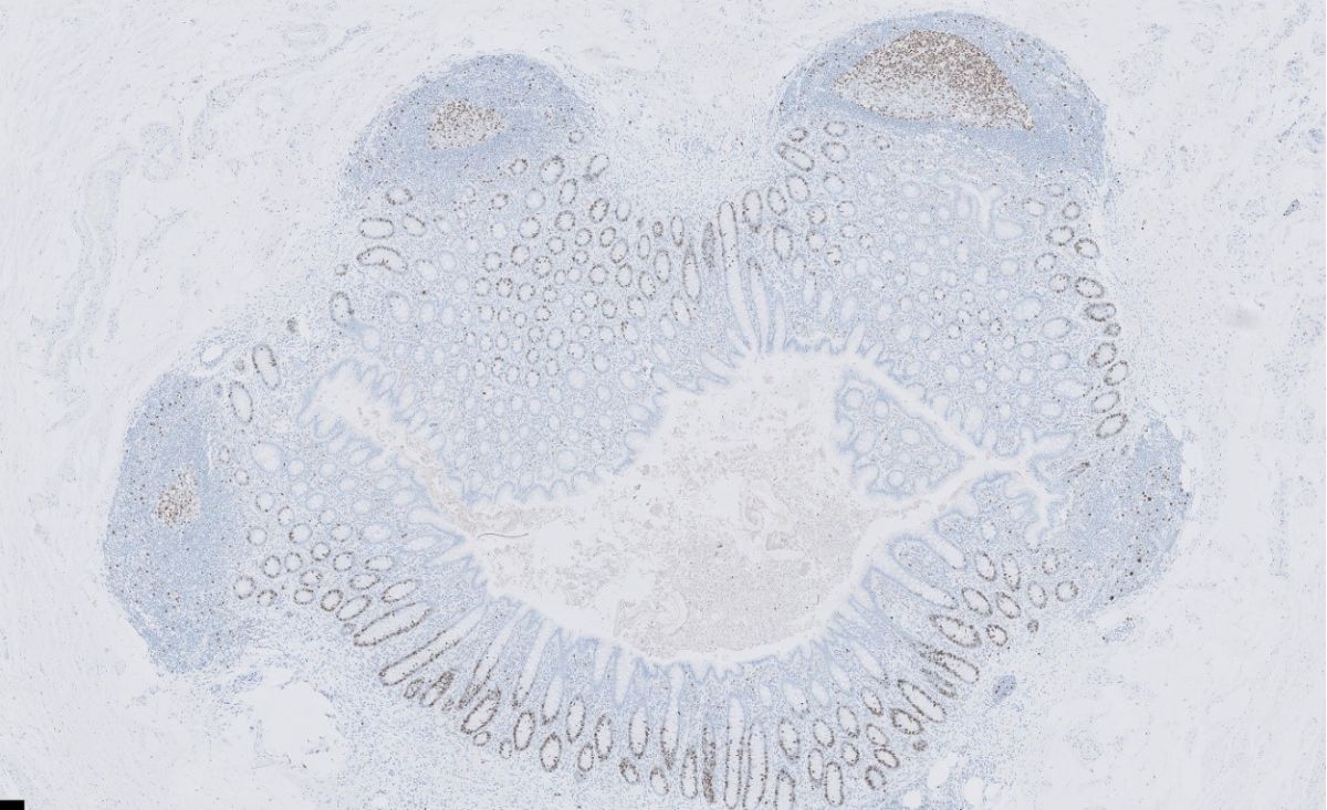
Foto 1 : Ki-67 kern kleuring, delende cellen in blinde darm.
Foto 2 : P63 kernkleuring, myo-epitheliale cellen in klierbuizen van mamma(borst)weefsel.
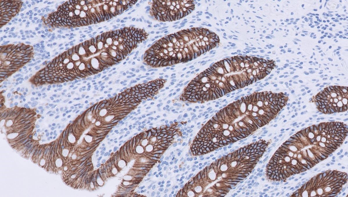
Foto 3 : EPCAM membraneuze kleuring, binnen oppervlak (epitheel) darmweefsel.

Foto 1 : Ki-67 kern kleuring, delende cellen in blinde darm.

Foto 2 : P63 kernkleuring, myo-epitheliale cellen in klierbuizen van mamma(borst)weefsel.
